作業療法士である私のアキレス腱断裂後のリハビリについてご紹介します。
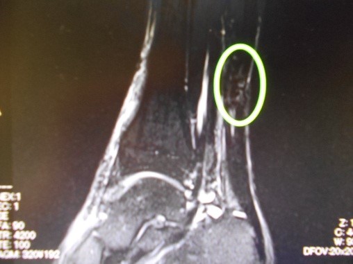
2017年12月に私事で非常に恐縮ですが、アキレス腱を断裂しました。
アキレス腱とは?
踵(かかと)の骨の上にあり、ふくらはぎの筋肉と踵をつなぐ腱のことです。踵骨腱(しょうこつけん)とも言います。「アキレス」の語源は、ギリシャ神話に登場する不死身の英雄アキレスの唯一の弱点で、戦争時にこの腱を弓で射抜かれ、命を落としたことから、この名がつけられたそうです。ランニングやジャンプなど、下肢を使って行う運動で重要な働きをします。アキレス腱には、普通に立ったり歩いたりする際にも負担がかかります。そのため準備運動が不十分だったり、運動不足の人がいきなり負荷をかけたりすると、炎症(アキレス腱炎)や、断裂(アキレス腱断裂)を起こしたりするので注意が必要です。アキレス腱は人体最大の腱で、約1トンの牽引力にも耐えるような強固な構造をしています。
現在まで、4カ月間、当院にて理学療法(リハビリ)を週2~1回で継続してきました。
先日で術後16週が経ち、リハビリを卒業しましたのでご報告します。
前回ブログ:『僕が患者になりまして』







当院の整形外科 部長 中島医師は、患者の負担を最小限に考えた低侵襲の手術を行われます。
そのため、手術痕が目立ちません。
アキレス腱断裂手術後のリハビリプログラムの内容を一部ご紹介します。
当院の理学療法士の徒手療法場面です。
非常に勉強になりましたし、長い間支えてもらいました。
さすが!フィジカルセラピスト!!

両足でのヒールレイズ(つま先立ち)訓練 まだ左右差があります(泣)


当院自慢の物理療法(超音波)場面
まずは指導ありきではじめてして頂き最後は自分で。

やはり自主訓練は重要で、もともとかなり体は硬いんですが、ストレッチ方法をたくさん指導してもらいました。

振り返って一言!!
再断裂は一定の割合で生じる可能性があります。
とにかく再断裂と逆足の断裂だけには気をつけました。
実はまだまだ再断裂の可能性はあり、術後28週(7ヶ月)経過すればアキレス腱の強度は十分回復し、アスリートレベルの運動競技に復帰しても再断裂の可能性はほとんどないと考えられているそうです。
(参考文献:内山英司先生のアキレス腱断裂の治療より抜粋させていただいています。)
私自身が具体的に注意したこと
・ギブスしている期間は、断裂していない足で無理せず、片足ケンケン歩きは極力行わないようにしました。
階段移動は座った状態で昇り降りしました。
・ギブスがとれてからは、術部やその周りのマッサージをマメに行いました。
階段移動は一段ずつ手すりを握って昇り降りしました。
・全身のストレッチ、特にヨガのDVDを借りてその動きを取り入れました。
・歩行時の急な方向転換はしない。
・銭湯やプールに通い、深い水の中で荷重をかけていきました。
・16週経ちましたが、バスケットボールはまだまだ行わないつもりですが、仕事はバリバリ頑張ります。
ご参考になれば幸いです。
最後に、この場をかりて職場の方々の御理解のおかげで、リハビリをしていただきながら、仕事を続けられたことに心から感謝いたします。
最後まで読んで頂きありがとうございます。
*無断転載禁止
投稿:2018年4月24日
=・=・=・=・=・=・=・=・=・=・=・=・=
社会医療法人有隣会 東大阪病院
リハビリテーション部
急性期リハビリテーション課
緩和ケアリハビリテーション課
回復期リハビリテーション課
〒536-0005 大阪市城東区中央1丁目7-12
TEL : 06-6939-1125
FAX : 06-6939-7474
Mail: kikaku@yurin.or.jp
TOYOTAが開発した最先端のロボット機器
ウェルウォーク(WW-2000)を導入しました。
【ウェルウォーク(WW-2000)特設ページ】
東大阪病院ホームページ
リハビリテーション部門ホームページ
=・=・=・=・=・=・=・=・=・=・=・=・=
関連記事